culture | February 26, 2026

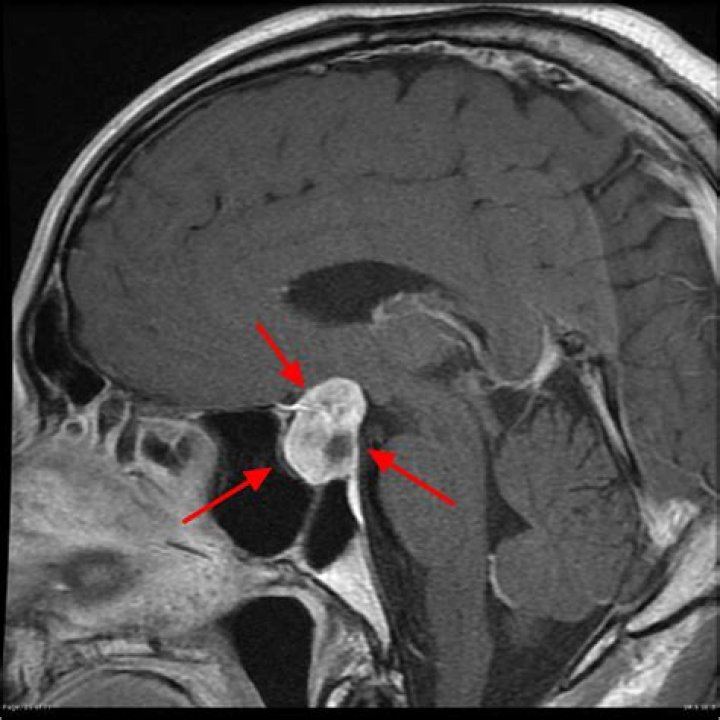
Where are pituitary tumors located?


Pituitary adenomasPituitary adenomas Pituitary tumors have very few known risk factors, and these are related to genetics. There are no known environmental or lifestyle-related risk factors for pituitary tumors. Though science has suggested that people who are overweight or obese might be at increased risk. › causes-risks-prevention › risk-factors

Risk Factors for Pituitary Tumors - American Cancer Society

. These benign tumors do not spread outside the skull. They usually stay in the sella turcica (the tiny space in the skull that the pituitary gland sits in). Sometimes they grow into the boney walls of the sella turcica and nearby tissues, like blood vessels, nerves, and sinuses.

What are the symptoms of a tumor on your pituitary gland?

Pituitary Gland Tumor: Symptoms and Signs
  • Headaches.
  • Vision problems.
  • Unexplained tiredness.
  • Mood changes.
  • Irritability.
  • Unexplained changes in menstrual cycles.
  • Erectile dysfunction, which is the inability to achieve or maintain an erection and is caused by hormone changes.
  • Infertility, which is the inability to have children.

Is a pituitary tumor serious?

Pituitary cancer is very rare. Still, the tumors can cause serious problems, either because of their size (large tumors) or because they make extra hormones your body doesn't need (functioning tumors). They're typically treated with surgery, medicine, or radiation.

What is the most common pituitary tumor?

Prolactinoma is a type of pituitary tumor that overproduces prolactin. The prolactin hormone stimulates milk production from the breasts. Prolactin-secreting pituitary adenomas are the most common type of pituitary tumor, accounting for approximately 30 percent of all pituitary tumors.

Are pituitary tumors urgent?

However, because the pituitary gland affects important body functions, these tumors can cause serious symptoms and require specialized and often urgent treatment.

Pituitary Tumor Resection

45 related questions found

Where does your head hurt with a pituitary tumor?

A person with pituitary tumor apoplexy usually has a sudden-onset, severe headache at the front of the head (either located on one side of the head or both) and/or behind one or both eyes.

Can CT scan detect pituitary tumor?

Computed tomography (CT) scan

CT scans can find a pituitary adenoma if it's large enough, but MRI scans are used much more often to look at the brain and pituitary gland.

What does a pituitary tumor headache feel like?

Headache pain in these situations is typically characterized by steady, bifrontal or unilateral frontal aching (ipsilateral to tumor). In some instances, pain is localized in the midface (either because of involvement of the second division of the trigeminal or secondary to sinusitis).

What problems can a pituitary tumor cause?

These tumors produce excess growth hormone (acromegaly), which can cause:
  • Coarsened facial features.
  • Enlarged hands and feet.
  • Excess sweating.
  • High blood sugar.
  • Heart problems.
  • Joint pain.
  • Misaligned teeth.
  • Increased body hair.

What happens if a pituitary tumor goes untreated?

In addition to causing pressure on the normal pituitary gland and adjacent nerves and brain, a non-functioning pituitary adenoma can cause pressure on the lining around the brain and the pituitary gland, leading to increasing headache usually behind the eyes.

How long can you live with pituitary tumor?

The 5-year survival rate tells you what percent of people live at least 5 years after the tumor is found. Percent means how many out of 100. The 5-year survival rate for people with a pituitary gland tumor is 97%. Survival rates depend on the type of tumor, the person's age, and other factors.

What blood tests show pituitary tumors?

To diagnose functional pituitary adenomas, doctors may run blood tests or other diagnostic tests to look for abnormally high amounts of:
  • adrenocortisol (ACTH) and cortisol.
  • growth hormone (GH) and insulin-like growth factor 1 (IGF-1)
  • prolactin.
  • thyroid-stimulating hormone (TSH) and thyroid hormone.

What causes a pituitary tumor to grow?

Tumors can be caused by DNA changes that turn on oncogenes or turn off tumor suppressor genes. Some people inherit gene mutations (changes) from their parents that greatly increase their risk for developing pituitary tumors.

What was your first brain tumor symptom?

First signs and symptoms of a brain tumor may be severe headaches and seizures. Severe, persistent headaches that may not be related to an existing illness such as migraine is considered a common finding in patients with a brain tumor. Pain may be worse in the mornings and may be associated with nausea or vomiting.

Do pituitary tumors cause dizziness?

Pituitary adenomas are common "brain tumors", but only on rare occasions are they sources of dizziness or imbalance. The reason for this is because the pituitary is far away from the inner ear as well as structures that process motion information from the ear.

Do pituitary tumors cause sinus problems?

When pituitary tumors grow they can compress the above-mentioned structures and cause symptoms. Figure 1. A cross-section of the pituitary gland (green) shows its relationship to the optic chiasm, the sphenoid sinus, and the cavernous sinuses on each side.

Can pituitary tumors cause eye problems?

Patients with small pituitary tumors do not typically develop visual symptoms. However, if a pituitary tumor has grown larger (usually more than 1 cm), then a patient can develop visual loss in one or both eyes. One pattern of visual loss that characteristically occurs is reduced peripheral vision to both sides.

Can a pituitary tumor cause ear problems?

Also called vestibular schwannomas, these tumors can grow and damage the adjacent brain stem and important nerves as they expand. Symptoms include unsteady balance or dizziness, hearing loss in the affected ear and ringing (tinnitus) in the affected ear.

Should I have my pituitary tumor removed?

Surgical removal of a pituitary tumor usually is necessary if the tumor is pressing on the optic nerves or if the tumor is overproducing certain hormones. The success of surgery depends on the tumor type, its location, its size and whether the tumor has invaded surrounding tissues.

How do you check your pituitary gland?

Magnetic resonance imaging (MRI) or high-resolution computerized tomography (CT) of your brain can detect a pituitary tumor or other pituitary gland problems. Vision tests. These tests can determine if growth of a pituitary tumor has impaired your sight or visual fields.

Can pituitary tumors cause back pain?

Cushing's Disease (ACTH secreting adenoma):

fat build-up in the face (round or moon face), back (characteristically the upper back causing a so-called hump), and chest, while the arms and legs to become relatively thin hyperglycemia/diabetes (too much sugar in the blood) weak and fragile muscles and bones. backache.

Can pituitary tumors cause joint pain?

Growth hormone-producing tumors

Gigantism can include increased height (over 7 feet), very quick growth, joint pain, and heavy sweating. In adults, too much growth hormone causes a condition called acromegaly.

Can an eye doctor detect a pituitary tumor?

Diagnosis. Because of their effects on vision, eye doctors may be the first to diagnose a pituitary adenoma. To measure the extent of vision loss, eye doctors usually order a computerized visual field test. Because some pituitary tumors can cause hormonal changes, a complete medical history is also taken.

How quickly do pituitary tumors grow?

How fast do pituitary tumors grow? Most pituitary tumors are slow growing, approximately 1-3mm/year.

What drugs affect the pituitary gland?

Introduction: Pituitary function is influenced by several drugs, including anti-depressant, opioids, glucocorticoids, chemotherapeutic agents, immunomodulators and the newly developed tyrosine kinase inhibitors.